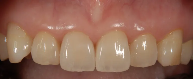
症例1
- 主訴
- 前歯が折れたのでインプラント治療希望
- 治療内容
- 右上中切歯に抜歯即時でインプラントを埋入
- 治療費
- 45万円
- 治療期間
- 4ヶ月
- 通院回数
- 8回
- 想定されたリスク
- インプラント部の歯茎が退縮してしまう
- コメント
- 抜歯即時埋入で行った為、外科処置は一回のみで、審美的に治療を終えることができた
before

after

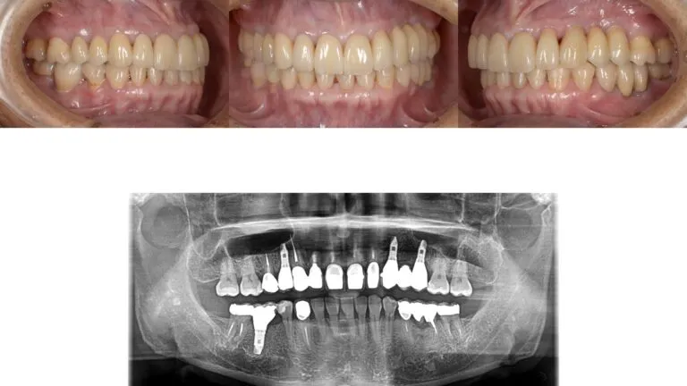
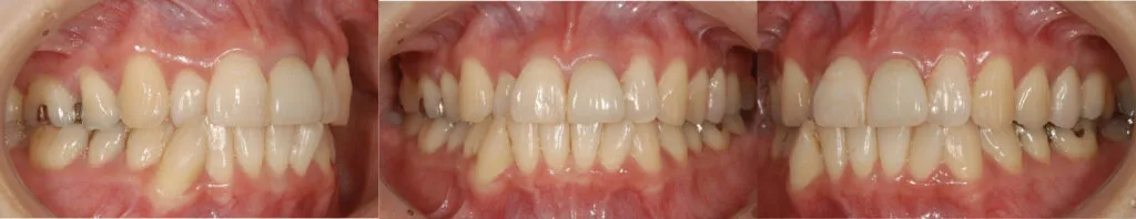
症例2
- 主訴
- 歯が取れた。全体的な治療を希望
- 治療内容
- インプラント治療、下顎前歯の部分矯正、セラミックによる補綴治療
- 治療費
- 400万
- 治療期間
- 1年6ヶ月
- 通院回数
- 60回
- 想定されたリスク
- 歯根破切や補綴装置の脱離
- コメント
- これまで局所的な治療の繰り返しを受けてきていた為、噛み合わせなども考慮して全顎的に整えることができた
before

after

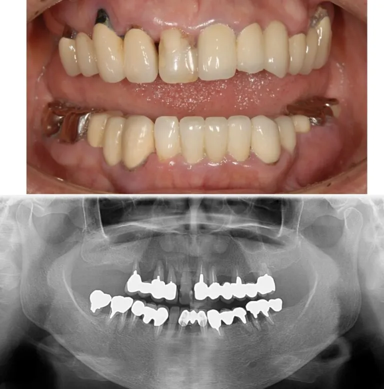
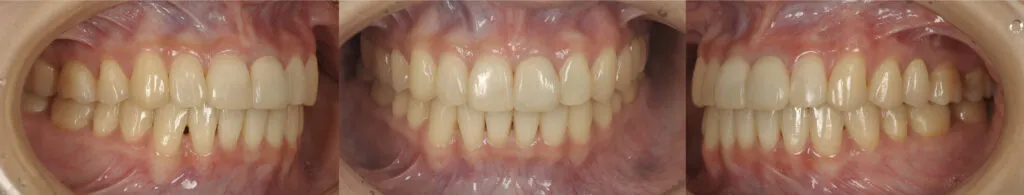
症例3
- 主訴
- 歯が揺れている。全体的な治療を希望
- 治療内容
- インプラント治療、セラミックによる補綴治療
- 治療費
- 450万
- 治療期間
- 1年6ヶ月
- 通院回数
- 50回
- 想定されたリスク
- 将来的な二次カリエス、歯周病の悪化
- コメント
- 入れ歯を使用せずに、しっかり噛めるようになりたいという希望を達成することができました。
before

after

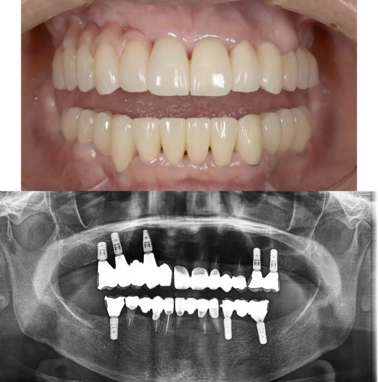
症例4
- 主訴
- 前歯が痛い。全体的な治療を希望
- 治療内容
- インプラント治療、矯正治療、セラミックによる補綴治療
- 治療費
- 400万
- 治療期間
- 2年3ヶ月
- 通院回数
- 70回
before

after

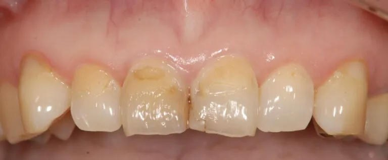
症例5
- 主訴
- 前歯をきれいにしたい
- 治療内容
- 前歯4本をラミネートベニアによる修復
- 治療費
- 35万
- 治療期間
- 2ヶ月
- 通院回数
- 5回
- 想定されたリスク
- 補綴装置の脱離、破切
- コメント
- 最小限の歯の切削量で審美性が改善されました
before

after

症例6
- 主訴
- 短い前歯をきれいにしたい
- 治療内容
- 前歯4本をセラミックによる修復
- 治療費
- 50万
- 治療期間
- 2ヶ月
- 通院回数
- 5回
- 想定されたリスク
- 補綴装置の脱離
- コメント
- 最小限の歯の切削量で審美性が改善されました
before

after

症例7
- 主訴
- 矯正して前歯をきれいにしたい
- 治療内容
- 矯正治療とセラミックによる修復治療
- 治療費
- 120万
- 治療期間
- 2年半
- 通院回数
- 50回
- 想定されたリスク
- 矯正治療後の後戻り
- コメント
- 歯並びが改善され、セラミック治療によって審美性が改善されました
before

after

